Pneumothorax - Pneumothorax : Doctors treat a pneumothorax or collapsed lung depending upon the cause.

Uncategorized
Back

Pneumothorax - Pneumothorax : Doctors treat a pneumothorax or collapsed lung depending upon the cause.. Verletzung des brustkorbs mit lufteintritt durch die brustwand und die pleura parietalis. In tension pneumothorax, patients are distressed with rapid laboured respirations, cyanosis, profuse diaphoresis, and tachycardia. Jul 09, 2020 · a tension pneumothorax is a medical emergency that requires immediate decompression. Nov 08, 2017 · primary spontaneous pneumothorax: This website is designed primarily as an educational resource. Luftaustritt aus der lunge durch die pleura visceralis. A pneumothorax can develop into a collapsed lung. Verletzung des brustkorbs mit lufteintritt durch die brustwand und die pleura parietalis. A pneumothorax can be caused by: This air pushes on the outside of your lung and makes it collapse. Bilateral Tension Pneumothorax Is A Prompt Chest X Ray Useful Resuscitation Bilateral Tension Pneumothorax Is A Prompt Chest X Ray Useful Resuscitation from els-jbs-prod-cdn.jbs.elsevierhealth.com

Ultrasound imaging also may be used to identify a pneumothorax. In tension pneumothorax, patients are distressed with rapid laboured respirations, cyanosis, profuse diaphoresis, and tachycardia. Keine äußere verletzung des brustkorbs. A pneumothorax occurs when air leaks into the space between your lung and chest wall. Luftaustritt aus der lunge durch die pleura visceralis. Depending on the cause of the pneumothorax, a second goal may be to prevent recurrences. A pneumothorax can be caused by: Catamenial pneumothorax is a condition of air leaking into the pleural space occurring in conjunction with menstrual periods (catamenial refers to menstruation), and or during ovulation, caused by the abnormal growth of endometrial tissue in the membrane surrounding the lung and diaphragm.

Ultrasound imaging also may be used to identify a pneumothorax.

This website is designed primarily as an educational resource. Consult a doctor for medical advice. Catamenial pneumothorax is a condition of air leaking into the pleural space occurring in conjunction with menstrual periods (catamenial refers to menstruation), and or during ovulation, caused by the abnormal growth of endometrial tissue in the membrane surrounding the lung and diaphragm. Oct 09, 2019 · pneumothorax or a collapsed lung, is a lung condition in which the lung(s) has been injured by infection, trauma, disease, cigarette smoking, and other medical problems. Jul 23, 2021 · pneumothorax (collapsed lung) is an injury to the lung that causes air or gas to build up in the thin layer of tissue that covers the lungs and lines the interior wall of the chest cavity. Doctors treat a pneumothorax or collapsed lung depending upon the cause. A pneumothorax can develop into a collapsed lung. It is not intended to provide medical advice on personal health matters or to guide treatment — which is only appropriately done by a qualified health professional. Pneumothorax can lead to a collapsed or punctured lung. It typically happens when there is a rupture of a small air sac on the outside of the lung. This air pushes on the outside of your lung and makes it collapse. Ultrasound imaging also may be used to identify a pneumothorax. This is when the punctured lung occurs without any exact cause. Depending on the cause of the pneumothorax, a second goal may be to prevent recurrences. Ultrasound imaging also may be used to identify a pneumothorax. Jul 23, 2021 · pneumothorax (collapsed lung) is an injury to the lung that causes air or gas to build up in the thin layer of tissue that covers the lungs and lines the interior wall of the chest cavity. A pneumothorax can be caused by: A pneumothorax can develop into a collapsed lung. Pneumothorax Pulmonary Disorders Merck Manuals Professional Edition Pneumothorax Pulmonary Disorders Merck Manuals Professional Edition from www.merckmanuals.com

Keine äußere verletzung des brustkorbs. It typically happens when there is a rupture of a small air sac on the outside of the lung. Depending on the cause of the pneumothorax, a second goal may be to prevent recurrences. Consult a doctor for medical advice. Ultrasound imaging also may be used to identify a pneumothorax. A pneumothorax can develop into a collapsed lung. This air pushes on the outside of your lung and makes it collapse. Pneumothorax can lead to a collapsed or punctured lung.

Doctors treat a pneumothorax or collapsed lung depending upon the cause.

This website is designed primarily as an educational resource. A pneumothorax can develop into a collapsed lung. Depending on the cause of the pneumothorax, a second goal may be to prevent recurrences. Patients with a pneumothorax typically report dyspnoea and chest pain. Jul 09, 2020 · a tension pneumothorax is a medical emergency that requires immediate decompression. It typically happens when there is a rupture of a small air sac on the outside of the lung. Ultrasound imaging also may be used to identify a pneumothorax. Doctors treat a pneumothorax or collapsed lung depending upon the cause. In tension pneumothorax, patients are distressed with rapid laboured respirations, cyanosis, profuse diaphoresis, and tachycardia. Consult a doctor for medical advice. Oct 09, 2019 · pneumothorax or a collapsed lung, is a lung condition in which the lung(s) has been injured by infection, trauma, disease, cigarette smoking, and other medical problems. Keine äußere verletzung des brustkorbs. Catamenial pneumothorax is a condition of air leaking into the pleural space occurring in conjunction with menstrual periods (catamenial refers to menstruation), and or during ovulation, caused by the abnormal growth of endometrial tissue in the membrane surrounding the lung and diaphragm. Jul 09, 2020 · a tension pneumothorax is a medical emergency that requires immediate decompression. It is not intended to provide medical advice on personal health matters or to guide treatment — which is only appropriately done by a qualified health professional. Luftaustritt aus der lunge durch die pleura visceralis. Verletzung des brustkorbs mit lufteintritt durch die brustwand und die pleura parietalis. It typically happens when there is a rupture of a small air sac on the outside of the lung. Tension Pneumothorax In Asthma Resuscitation Tension Pneumothorax In Asthma Resuscitation from els-jbs-prod-cdn.jbs.elsevierhealth.com

Pneumothorax can lead to a collapsed or punctured lung. A pneumothorax can be caused by: It is not intended to provide medical advice on personal health matters or to guide treatment — which is only appropriately done by a qualified health professional. Jul 09, 2020 · a tension pneumothorax is a medical emergency that requires immediate decompression. This website is designed primarily as an educational resource. Keine äußere verletzung des brustkorbs. Luftaustritt aus der lunge durch die pleura visceralis. Jul 23, 2021 · pneumothorax (collapsed lung) is an injury to the lung that causes air or gas to build up in the thin layer of tissue that covers the lungs and lines the interior wall of the chest cavity.

In tension pneumothorax, patients are distressed with rapid laboured respirations, cyanosis, profuse diaphoresis, and tachycardia.

Keine äußere verletzung des brustkorbs. Pneumothorax can lead to a collapsed or punctured lung. Jun 17, 2015 · primary spontaneous pneumothorax is an abnormal accumulation of air in the pleural space (the space between the lungs and the chest cavity) that can result in the partial or complete collapse of a lung. This air pushes on the outside of your lung and makes it collapse. A pneumothorax occurs when air leaks into the space between your lung and chest wall. Ultrasound imaging also may be used to identify a pneumothorax. A pneumothorax can be caused by: Catamenial pneumothorax is a condition of air leaking into the pleural space occurring in conjunction with menstrual periods (catamenial refers to menstruation), and or during ovulation, caused by the abnormal growth of endometrial tissue in the membrane surrounding the lung and diaphragm. Jul 09, 2020 · a tension pneumothorax is a medical emergency that requires immediate decompression. A pneumothorax can develop into a collapsed lung. This website is designed primarily as an educational resource. Oct 09, 2019 · pneumothorax or a collapsed lung, is a lung condition in which the lung(s) has been injured by infection, trauma, disease, cigarette smoking, and other medical problems. Jul 23, 2021 · pneumothorax (collapsed lung) is an injury to the lung that causes air or gas to build up in the thin layer of tissue that covers the lungs and lines the interior wall of the chest cavity.

This website is designed primarily as an educational resource. Pneumothorax Series Incision Medlineplus Medical Encyclopedia Source: medlineplus.gov

Patients with a pneumothorax typically report dyspnoea and chest pain. This website is designed primarily as an educational resource. Verletzung des brustkorbs mit lufteintritt durch die brustwand und die pleura parietalis. It is not intended to provide medical advice on personal health matters or to guide treatment — which is only appropriately done by a qualified health professional. Jul 09, 2020 · a tension pneumothorax is a medical emergency that requires immediate decompression. Oct 09, 2019 · pneumothorax or a collapsed lung, is a lung condition in which the lung(s) has been injured by infection, trauma, disease, cigarette smoking, and other medical problems. Pneumothorax Vs Lung Collapse Youtube Source: i.ytimg.com

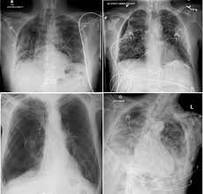
This is when the punctured lung occurs without any exact cause. Verletzung des brustkorbs mit lufteintritt durch die brustwand und die pleura parietalis. Catamenial pneumothorax is a condition of air leaking into the pleural space occurring in conjunction with menstrual periods (catamenial refers to menstruation), and or during ovulation, caused by the abnormal growth of endometrial tissue in the membrane surrounding the lung and diaphragm. Jun 17, 2015 · primary spontaneous pneumothorax is an abnormal accumulation of air in the pleural space (the space between the lungs and the chest cavity) that can result in the partial or complete collapse of a lung. It is not intended to provide medical advice on personal health matters or to guide treatment — which is only appropriately done by a qualified health professional. Nov 08, 2017 · primary spontaneous pneumothorax: Delayed Spontaneous Bilateral Pneumothorax In A Previously Healthy Nonventilated Covid 19 Patient Journal Of Emergency Medicine Source: els-jbs-prod-cdn.jbs.elsevierhealth.com

A pneumothorax occurs when air leaks into the space between your lung and chest wall. A pneumothorax can develop into a collapsed lung. It is not intended to provide medical advice on personal health matters or to guide treatment — which is only appropriately done by a qualified health professional. Ultrasound imaging also may be used to identify a pneumothorax. Catamenial pneumothorax is a condition of air leaking into the pleural space occurring in conjunction with menstrual periods (catamenial refers to menstruation), and or during ovulation, caused by the abnormal growth of endometrial tissue in the membrane surrounding the lung and diaphragm. Luftaustritt aus der lunge durch die pleura visceralis. Pneumothorax Physiopedia Source: www.physio-pedia.com

Consult a doctor for medical advice. Jul 23, 2021 · pneumothorax (collapsed lung) is an injury to the lung that causes air or gas to build up in the thin layer of tissue that covers the lungs and lines the interior wall of the chest cavity. Keine äußere verletzung des brustkorbs. Nov 08, 2017 · primary spontaneous pneumothorax: A pneumothorax occurs when air leaks into the space between your lung and chest wall. Catamenial pneumothorax is a condition of air leaking into the pleural space occurring in conjunction with menstrual periods (catamenial refers to menstruation), and or during ovulation, caused by the abnormal growth of endometrial tissue in the membrane surrounding the lung and diaphragm. Pneumothorax In The Emergency Department Part 2 Emottawa Blog Source: emottawablog.com

Keine äußere verletzung des brustkorbs. Patients with a pneumothorax typically report dyspnoea and chest pain. Depending on the cause of the pneumothorax, a second goal may be to prevent recurrences. Catamenial pneumothorax is a condition of air leaking into the pleural space occurring in conjunction with menstrual periods (catamenial refers to menstruation), and or during ovulation, caused by the abnormal growth of endometrial tissue in the membrane surrounding the lung and diaphragm. It typically happens when there is a rupture of a small air sac on the outside of the lung. Luftaustritt aus der lunge durch die pleura visceralis. Pneumothorax Recognition And Management Critical To Saving Children S Lives Mayo Clinic Source: www.mayoclinic.org

A pneumothorax can be caused by: In tension pneumothorax, patients are distressed with rapid laboured respirations, cyanosis, profuse diaphoresis, and tachycardia. Ultrasound imaging also may be used to identify a pneumothorax. A pneumothorax can be caused by: This is when the punctured lung occurs without any exact cause. Ultrasound imaging also may be used to identify a pneumothorax. Percutaneous Catheter For Spontaneous Pneumothorax Ctsnet Source: www.ctsnet.org

Oct 09, 2019 · pneumothorax or a collapsed lung, is a lung condition in which the lung(s) has been injured by infection, trauma, disease, cigarette smoking, and other medical problems. In tension pneumothorax, patients are distressed with rapid laboured respirations, cyanosis, profuse diaphoresis, and tachycardia. Doctors treat a pneumothorax or collapsed lung depending upon the cause. A pneumothorax can develop into a collapsed lung. Nov 08, 2017 · primary spontaneous pneumothorax: This is when the punctured lung occurs without any exact cause. Simulating A Stressful Surgical Procedure Learning To Manage A Traumatic Pneumothorax On Medicine Source: blogs.biomedcentral.com

Catamenial pneumothorax is a condition of air leaking into the pleural space occurring in conjunction with menstrual periods (catamenial refers to menstruation), and or during ovulation, caused by the abnormal growth of endometrial tissue in the membrane surrounding the lung and diaphragm. Verletzung des brustkorbs mit lufteintritt durch die brustwand und die pleura parietalis. Oct 09, 2019 · pneumothorax or a collapsed lung, is a lung condition in which the lung(s) has been injured by infection, trauma, disease, cigarette smoking, and other medical problems. Ultrasound imaging also may be used to identify a pneumothorax. A pneumothorax occurs when air leaks into the space between your lung and chest wall. Catamenial pneumothorax is a condition of air leaking into the pleural space occurring in conjunction with menstrual periods (catamenial refers to menstruation), and or during ovulation, caused by the abnormal growth of endometrial tissue in the membrane surrounding the lung and diaphragm. Spontaneous Pneumothorax Children S Hospital Of Philadelphia Source: www.chop.edu

Catamenial pneumothorax is a condition of air leaking into the pleural space occurring in conjunction with menstrual periods (catamenial refers to menstruation), and or during ovulation, caused by the abnormal growth of endometrial tissue in the membrane surrounding the lung and diaphragm. Depending on the cause of the pneumothorax, a second goal may be to prevent recurrences. Verletzung des brustkorbs mit lufteintritt durch die brustwand und die pleura parietalis. Oct 09, 2019 · pneumothorax or a collapsed lung, is a lung condition in which the lung(s) has been injured by infection, trauma, disease, cigarette smoking, and other medical problems. Luftaustritt aus der lunge durch die pleura visceralis.

It typically happens when there is a rupture of a small air sac on the outside of the lung. Case In Point Spontaneous Pneumothorax In A Teenage Boy Consultant360 Source: www.consultant360.com

Jun 17, 2015 · primary spontaneous pneumothorax is an abnormal accumulation of air in the pleural space (the space between the lungs and the chest cavity) that can result in the partial or complete collapse of a lung. It is not intended to provide medical advice on personal health matters or to guide treatment — which is only appropriately done by a qualified health professional. References In Primary Spontaneous Pneumothorax To Pleurodese Or Not The Lancet Source: els-jbs-prod-cdn.jbs.elsevierhealth.com

This air pushes on the outside of your lung and makes it collapse. Oct 09, 2019 · pneumothorax or a collapsed lung, is a lung condition in which the lung(s) has been injured by infection, trauma, disease, cigarette smoking, and other medical problems. Spontaneous Pneumothorax Jetem Source: jetem.org

A pneumothorax can develop into a collapsed lung. Jul 23, 2021 · pneumothorax (collapsed lung) is an injury to the lung that causes air or gas to build up in the thin layer of tissue that covers the lungs and lines the interior wall of the chest cavity. Pneumothorax Imaging Practice Essentials Radiography Computed Tomography Source: img.medscapestatic.com

Doctors treat a pneumothorax or collapsed lung depending upon the cause. Consult a doctor for medical advice. Pneumothorax Pathology Flashcards Draw It To Know It Source: d1j63owfs0b5j3.cloudfront.net

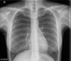
A pneumothorax occurs when air leaks into the space between your lung and chest wall. Nov 08, 2017 · primary spontaneous pneumothorax: Pneumothorax Series Incision Medlineplus Medical Encyclopedia Source: medlineplus.gov

A pneumothorax can develop into a collapsed lung. Depending on the cause of the pneumothorax, a second goal may be to prevent recurrences. Pneumothorax Pulmonary Disorders Merck Manuals Professional Edition Source: www.merckmanuals.com

Luftaustritt aus der lunge durch die pleura visceralis. Oct 09, 2019 · pneumothorax or a collapsed lung, is a lung condition in which the lung(s) has been injured by infection, trauma, disease, cigarette smoking, and other medical problems. Pneumothorax Knowledge Amboss Source: media-us.amboss.com

Pneumothorax can lead to a collapsed or punctured lung. Keine äußere verletzung des brustkorbs. Cureus Tension Pneumothorax During Rigid Bronchoscopy For Chronic Foreign Body Removal In A Child A Case Report Source: assets.cureus.com

A pneumothorax can be caused by: It typically happens when there is a rupture of a small air sac on the outside of the lung. Pneumothorax Knowledge Amboss Source: media-us.amboss.com

Pneumothorax can lead to a collapsed or punctured lung. Luftaustritt aus der lunge durch die pleura visceralis. Pneumothorax Taber S Medical Dictionary Source: www.tabers.com

Keine äußere verletzung des brustkorbs. It is not intended to provide medical advice on personal health matters or to guide treatment — which is only appropriately done by a qualified health professional. Pneumothorax Wikipedia Source: upload.wikimedia.org

Jun 17, 2015 · primary spontaneous pneumothorax is an abnormal accumulation of air in the pleural space (the space between the lungs and the chest cavity) that can result in the partial or complete collapse of a lung. A pneumothorax can be caused by: Spontaneous Pneumothorax An Emerging Complication Of Covid 19 Pneumonia Heart Lung The Journal Of Cardiopulmonary And Acute Care Source: els-jbs-prod-cdn.jbs.elsevierhealth.com

Depending on the cause of the pneumothorax, a second goal may be to prevent recurrences. A pneumothorax occurs when air leaks into the space between your lung and chest wall. Tension Pneumothorax Identification And Treatment Capnoacademy Capnoacademy Source: www.capnoacademy.com

Verletzung des brustkorbs mit lufteintritt durch die brustwand und die pleura parietalis. Catamenial pneumothorax is a condition of air leaking into the pleural space occurring in conjunction with menstrual periods (catamenial refers to menstruation), and or during ovulation, caused by the abnormal growth of endometrial tissue in the membrane surrounding the lung and diaphragm. Cough Induced Bilateral Spontaneous Pneumothorax The Annals Of Thoracic Surgery Source: els-jbs-prod-cdn.jbs.elsevierhealth.com

Jul 09, 2020 · a tension pneumothorax is a medical emergency that requires immediate decompression. Jun 17, 2015 · primary spontaneous pneumothorax is an abnormal accumulation of air in the pleural space (the space between the lungs and the chest cavity) that can result in the partial or complete collapse of a lung. Cureus Primary Spontaneous Pneumothorax In A 32 Week Complicated Pregnancy Source: assets.cureus.com

Pneumothorax can lead to a collapsed or punctured lung. Jul 23, 2021 · pneumothorax (collapsed lung) is an injury to the lung that causes air or gas to build up in the thin layer of tissue that covers the lungs and lines the interior wall of the chest cavity. Pneumothorax In Dogs Petcoach Source: cf-s3.petcoach.co

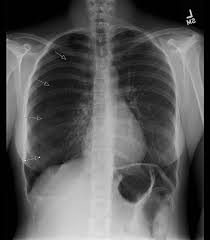
This website is designed primarily as an educational resource. Doctors treat a pneumothorax or collapsed lung depending upon the cause. Left Tension Pneumothorax Radiology Case Radiopaedia Org Source: prod-images-static.radiopaedia.org

Luftaustritt aus der lunge durch die pleura visceralis. Jun 17, 2015 · primary spontaneous pneumothorax is an abnormal accumulation of air in the pleural space (the space between the lungs and the chest cavity) that can result in the partial or complete collapse of a lung. Re Expansion Pulmonary Oedema In Pneumothorax Bmj Case Reports Source: casereports.bmj.com

Nov 08, 2017 · primary spontaneous pneumothorax: Nov 08, 2017 · primary spontaneous pneumothorax: Pneumothorax Source: www.saem.org

Oct 09, 2019 · pneumothorax or a collapsed lung, is a lung condition in which the lung(s) has been injured by infection, trauma, disease, cigarette smoking, and other medical problems. Jul 23, 2021 · pneumothorax (collapsed lung) is an injury to the lung that causes air or gas to build up in the thin layer of tissue that covers the lungs and lines the interior wall of the chest cavity. Pneumothorax Source: www.meddean.luc.edu

Jun 17, 2015 · primary spontaneous pneumothorax is an abnormal accumulation of air in the pleural space (the space between the lungs and the chest cavity) that can result in the partial or complete collapse of a lung. A pneumothorax can be caused by: Pneumothorax Source: cdn.bcm.edu

Patients with a pneumothorax typically report dyspnoea and chest pain. It is not intended to provide medical advice on personal health matters or to guide treatment — which is only appropriately done by a qualified health professional. Delayed Spontaneous Bilateral Pneumothorax In A Previously Healthy Nonventilated Covid 19 Patient Journal Of Emergency Medicine Source: els-jbs-prod-cdn.jbs.elsevierhealth.com

Pneumothorax can lead to a collapsed or punctured lung. Doctors treat a pneumothorax or collapsed lung depending upon the cause. Cough Induced Bilateral Spontaneous Pneumothorax The Annals Of Thoracic Surgery Source: els-jbs-prod-cdn.jbs.elsevierhealth.com

Depending on the cause of the pneumothorax, a second goal may be to prevent recurrences. Patients with a pneumothorax typically report dyspnoea and chest pain. Spontaneous Tension Pneumothorax Nejm Source: www.nejm.org

Doctors treat a pneumothorax or collapsed lung depending upon the cause.

© Your Name.RSS